miércoles, 31 de diciembre de 2014

Is nonoperative treatment of pediatric type I open fractures safe and effective?

Este artículo es publicado originalmente en:
http://www.ncbi.nlm.nih.gov/pubmed/25374057


De:
J Child Orthop. 2014 Dec;8(6):467-71. doi: 10.1007/s11832-014-0616-x. Epub 2014 Nov 6.

Is nonoperative treatment of pediatric type I open fractures safe and effective?

Abstract

PURPOSE:

There is limited literature on nonoperative treatment of open type I pediatric fractures. Our purpose was to evaluate the rate of infection in pediatric patients with type I open fractures treated nonoperatively at our institution without admission from the emergency department (ED).

METHODS:

We performed a retrospective chart review of all patients who sustained a type I open fracture of the forearm or tibia from 2000 through 2013. Forty patients fit the inclusion criteria: <18 years old with type I open fracture treated nonoperatively with irrigation and debridement, followed by closed reduction and casting of the fracture under conscious sedation in the ED. All patients were discharged home. The primary outcome was presence of infection. Secondary outcomes included occurrence of a delayed union, time to union, complications, and residual angulation.

RESULTS:

There were no reported or documented infections. There was one case of a retained foreign body (<1 cm) in a mid-diaphyseal forearm fracture, which was removed in clinic at 4 weeks after the patient developed a granuloma with no infectious sequela. There was one case of a delayed union; all patients eventually had complete bony union. There was minimal residual angulation in both upper and lower extremities at last follow-up.

CONCLUSIONS:

Nonoperative treatment of type I open fractures in pediatric patients can be performed safely with little risk of infection. This preliminary evidence may serve as a foundation for future prospective studies.

Resumen
PROPÓSITO:

Hay poca literatura sobre el tratamiento quirúrgico de las fracturas abiertas de tipo I pediátricos. Nuestro objetivo fue evaluar la tasa de infección en pacientes pediátricos con tipo abro fracturas tratadas sin cirugía en nuestra institución sin admisión del departamento de emergencia (ED).
 
MÉTODOS:

Se realizó una revisión retrospectiva de todos los pacientes que sufrieron un tipo abro fractura del antebrazo o de la tibia de 2000 a 2013. Cuarenta pacientes los criterios de inclusión: <18 años de edad con tipo abro fractura tratamiento conservador con la irrigación y el desbridamiento, seguido mediante reducción cerrada y la fundición de la fractura bajo sedación consciente en el servicio de urgencias. Todos los pacientes fueron dados de alta. El resultado primario fue la presencia de infección. Los resultados secundarios incluyeron la ocurrencia de un retraso de la unión, tiempo de consolidación, complicaciones, y la angulación residual.
 
RESULTADOS:

No hubo infecciones notificadas o documentados. Hubo un caso de un cuerpo extraño retenido (<1 cm) en una fractura del antebrazo-media de la diáfisis, que fue eliminado en la clínica a las 4 semanas después de que el paciente desarrolló un granuloma sin secuelas infecciosas. Hubo un caso de un retraso de la unión; todos los pacientes finalmente tuvieron unión ósea completa. Hubo angulación residual mínima en ambas extremidades superiores e inferiores en el último seguimiento.
 
CONCLUSIONES:

El tratamiento no quirúrgico de tipo I abrir fracturas en pacientes pediátricos se pueden realizar de forma segura con poco riesgo de infección. Esta evidencia preliminar puede servir de base para futuros estudios prospectivos.
PMID:
 
25374057
 
[PubMed] 

PMCID:
 
PMC4252271

 
Free PMC Article

Calidad de vida relacionada con la salud en los niños con pie plano flexible: un estudio transversal / Health-related quality of life in children with flexible flatfeet: a cross-sectional study.

Este artículo es originalmente publicado en:
http://www.ncbi.nlm.nih.gov/pubmed/25376653


De:
J Child Orthop. 2014 Dec;8(6):489-96. doi: 10.1007/s11832-014-0621-0. Epub 2014 Nov 8.

Health-related quality of life in children with flexible flatfeet: a cross-sectional study.

Abstract

PURPOSE:

The effect of paediatric flexible flatfeet (PFF) on health-related quality of life (HRQOL) has not been investigated. In this prospective cross-sectional study, the HRQOL of children with PFF was compared to those with typically developing feet (TDF) using two validated measures. We hypothesised that reduced HRQOL would be observed in children with PFF. The reliability of parents' perceptions of their child's symptoms was also investigated.

METHODS:

48 children with PFF and 47 with TDF between the ages of 8 and 15 completed The Oxford Ankle Foot Questionnaire for Children (OxAFQ-C) and Pediatric Quality of Life Inventory (PedsQL™ 4.0). Proxy questionnaires were also completed. Reliability of parent and child questionnaire scores was assessed using the intraclass correlation coefficient (ICC) and Student's t test. Differences between HRQOL between PFF and TDF were assessed using the Student's t test.

RESULTS:

ICCs overall demonstrated good reliability between parent and child questionnaire domain scores. There was a tendency for parents to overestimate the impairment of the child in the PFF group. PFF children demonstrated clinically significant decreased HRQOL than TDF children. This was most marked in the physical domain scores.

CONCLUSION:

Although parents may overestimate their child's impairment, children with PFF still have significantly impaired HRQOL when compared to TDF children. The impairment can be as severe, or worse, than published HRQOL for acutely and chronically unwell children. As such, PFF cannot be regarded as just a benign normal variant. The management of PFF should involve consideration of the symptom profile and HRQOL.

LEVEL OF EVIDENCE:

II.

PROPÓSITO:

El efecto del pie plano flexible, pediátrico (PFF) en la calidad relacionada con la salud de vida (CVRS) no se ha investigado. En este estudio transversal prospectivo, la CVRS de los niños con PFF se comparó con aquellos con los pies desarrollo típico (TDF) utilizando dos medidas validadas. Tenemos la hipótesis de que la reducción de la CVRS se observó en los niños con PFF. La fiabilidad de las percepciones de los síntomas de su hijo de los padres también fue investigado.
MÉTODOS:

48 niños con PFF y 47 con TDF entre las edades de 8 y 15 completaron el cuestionario Oxford tobillo del pie para la Infancia (OxAFQ-C) y Calidad de Pediatría del Inventario de la Vida (PedsQL 4.0). También se completaron cuestionarios proxy. La fiabilidad de las puntuaciones de los padres y el cuestionario niño se evaluó mediante el coeficiente de correlación intraclase (CCI) y la prueba t de Student. Las diferencias entre la CVRS entre PFF y TDF se evaluaron mediante la prueba t de Student.
RESULTADOS:

CCI global demostró una buena fiabilidad entre las puntuaciones de los padres y de dominio cuestionario niño. Hubo una tendencia para que los padres sobreestiman el deterioro del menor en el grupo de la FPF. Niños PFF demostrado clínicamente significativa disminución de la CVRS que los niños TDF. Esto fue más marcado en las puntuaciones de los dominios físicos.
CONCLUSIÓN:

Aunque los padres pueden sobrestimar el deterioro de sus hijos, los niños con PFF todavía han mermado significativamente la CVRS en comparación con los niños de TDF. El deterioro puede ser tan grave, o peor, que la CVRS publicado para niños aguda como crónicamente enfermos. Como tal, PFF no puede considerarse simplemente como una variante normal benigna. La gestión de la FPF debería tenerse en cuenta el perfil de los síntomas y la CVRS.
Nivel de evidencia: II.
PMID:
 
25376653
 
[PubMed] 

PMCID:
 
PMC4252274

 
Free PMC Article

Marcha Atópica

Estimado Pediatra te invito al Seminario de Pediatría, Cirugía Pediátrica y Lactancia Materna. El día 7 de Enero 2015 las 21hrs (Centro, México DF, Guadalajara y Lima Perú) a la Conferencia: “Marcha Atópica ” por la “Dr. Manuel Baeza Bacab”, Alergista Pediatra de la Cd de Mérida Yucatán. La sesión inicia puntualmente las 21 hrs. 
Para entrar a la Sala de Conferencia:
1.- hacer click en la siguiente liga, o cópiala y escríbela en tu buscador http://connectpro60196372.adobeconnect.com/inmunologia_lechealmacenada/
2.- “Entra como Invitado” Escribes tu nombre y apellido en el espacio en blanco 
3.- Hacer click en el espacio que dice “Entrar en la Sala”
5.- A disfrutar la conferencia 
6.- Recomendamos que dejes tu Nombre Completo, Correo electrónico y que participes.


Henrys


Dr. Enrique Mendoza López
Webmaster: CONAPEME
Coordinador Nacional: Seminario Ciberpeds-Conapeme
Av La clinica 2520-310 
Colonia Sertoma ,Mty N.L. México
CP 64710
Tel-Fax 52 81 83482940 y 52 81 81146053
Celular 8183094806
www.conapeme.org
www.pediatramendoza.com
enrique@pediatramendoza.com
emendozal@yahoo.com.mx

martes, 30 de diciembre de 2014

Discusión entre pares / 11 years old pain rt thigh for 2 month at night

https://www.facebook.com/groups/indian.ortho/?fref=nf

11 years old pain rt thigh for 2 month at night

8 year-old with painful shoulder. What's the most likely diagnosis?

Fundación Mexicana del Pie Equino Varo.

lunes, 29 de diciembre de 2014

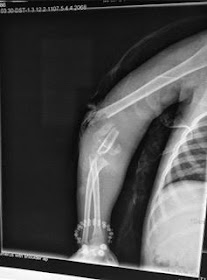
Discusión entre pares / 6 year old child having compound grade 3a fracture of distal humerus

https://www.facebook.com/groups/indian.ortho/

6 year old child having compound grade 3a fracture of distal humerus.
Neurovascular status good
Critical comments please.